« CTSNet Online Books
LUNG CANCER
A Handbook for Staging, Imaging, and Lymph Node Classification
by Clifton F. Mountain, MD; Herman I. Libshitz, MD; and Kay E. Hermes
Contents | About the Author(s) | Dedication and Acknowledgment
 Illustrations and Imaging
page 24 

N2

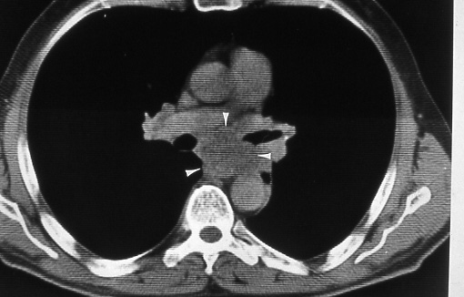
Fig. 26a: Computed tomographic scan of the chest shows enlarged subcarinal nodes (white arrowheads) that deviate the esophagus posteriorly and laterally, N2.

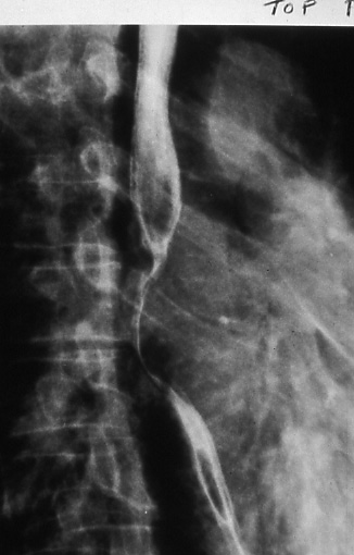
Fig. 26b: Barium swallow showing the displacement of the esophagus by the subcarinal nodes, N2. The presence of the nodes can only be inferred.

Copyright © 1999 - 2003 by CF Mountain and HI Libshitz, Houston, Texas. All rights reserved.

Printed in the United States of America by Charles P. Young Company. No part of this manual may be reproduced by any means without the prior written consent of the authors.