« CTSNet Online Books
LUNG CANCER
A Handbook for Staging, Imaging, and Lymph Node Classification
by Clifton F. Mountain, MD; Herman I. Libshitz, MD; and Kay E. Hermes
Contents | About the Author(s) | Dedication and Acknowledgment
 Illustrations and Imaging
page 25 

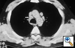
N3

Fig. 27: Diagram, N3 disease. Metastasis involving contralateral or ipsilateral supraclavicular/scalene lymph nodes or contralateral mediastinal or contralateral hilar lymph nodes.

Fig. 28: Computed tomographic scan of the chest for a patient with a left sided bronchogenic carcinoma showing prominent nodes in the left prevascular region and the right paratracheal area (white arrow), suspect for N3 disease.

Copyright © 1999 - 2003 by CF Mountain and HI Libshitz, Houston, Texas. All rights reserved.

Printed in the United States of America by Charles P. Young Company. No part of this manual may be reproduced by any means without the prior written consent of the authors.