« CTSNet Online Books
LUNG CANCER
A Handbook for Staging, Imaging, and Lymph Node Classification
by Clifton F. Mountain, MD; Herman I. Libshitz, MD; and Kay E. Hermes
Contents | About the Author(s) | Dedication and Acknowledgment
 Illustrations and Imaging
page 38 

Stage IIIB

Fig. 46: Diagram, stage IIIB. Stage IIIB classifies extensive extrapulmonary tumor invasion of structures such as the trachea, esophagus, heart, and major vessels, and metastasis to the contralateral mediastinal and hilar lymph nodes, and the ipsilateral and contralateral supraclavicular/scalene lymph nodes--T4 Any N M0 and Any T N3 M0, stage IIIB disease.

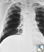
Fig. 47: Posterior-anterior chest radiograph shows a large mass in the right paratracheal region. The trachea is deviated to the left by the mass (black arrow) in keeping with T4, stage IIIB disease. Elevated right hemidiaphragm suggests phrenic nerve involvement.

Copyright © 1999 - 2003 by CF Mountain and HI Libshitz, Houston, Texas. All rights reserved.

Printed in the United States of America by Charles P. Young Company. No part of this manual may be reproduced by any means without the prior written consent of the authors.