« CTSNet Online Books
LUNG CANCER
A Handbook for Staging, Imaging, and Lymph Node Classification
by Clifton F. Mountain, MD; Herman I. Libshitz, MD; and Kay E. Hermes
Contents | About the Author(s) | Dedication and Acknowledgment
 Illustrations and Imaging
page 39 

Stage IIIB

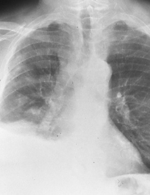
Fig. 48a: Posterior-anterior chest radiograph shows extensive mediastinal disease with compression of the right bronchus interrmedius and right hilar and mediastinal adenopathy. A moderately large pleural effusion is present, T4 N2 M0, stage IIIB.

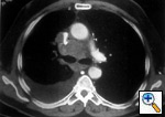
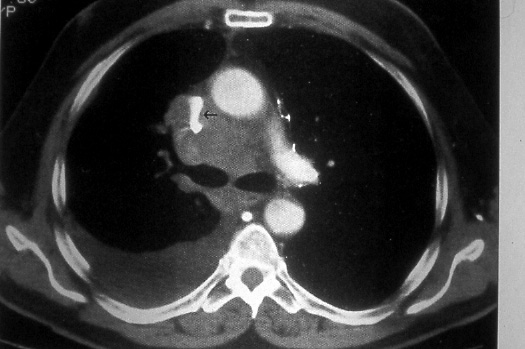
Fig. 48b: Computed tomographic scan of the chest shows marked compression of the superior vena cava (black arrow) from right upper lobe bronchogenic carcinoma; extensive mediastinal adenopathy is present and a right pleural effusion is seen, T4 N2 M0, stage IIIB.

Copyright © 1999 - 2003 by CF Mountain and HI Libshitz, Houston, Texas. All rights reserved.

Printed in the United States of America by Charles P. Young Company. No part of this manual may be reproduced by any means without the prior written consent of the authors.