« CTSNet Online Books
LUNG CANCER
A Handbook for Staging, Imaging, and Lymph Node Classification
by Clifton F. Mountain, MD; Herman I. Libshitz, MD; and Kay E. Hermes
Contents | About the Author(s) | Dedication and Acknowledgment
 Illustrations and Imaging
page 40 

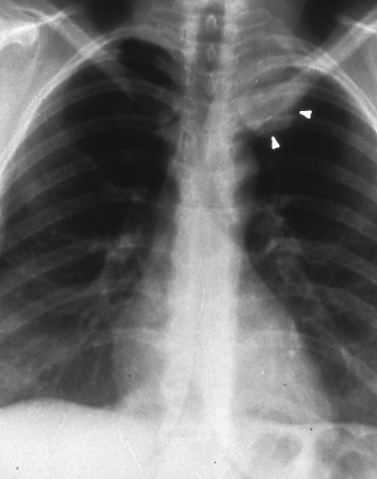
Stage IIIB

Fig. 49a: Posterior-anterior radiograph showing tumor in apex of left lung, questionable T3-stage IIIA or T4-stage IIIB12.

Fig. 49b: Magnetic resonance imaging of the chest showing tumor (T) and vertebrae (v). Arrow points to tumor extension directly into the neural foramen, T4 N0 M0, stage IIIB12.

Copyright © 1999 - 2003 by CF Mountain and HI Libshitz, Houston, Texas. All rights reserved.

Printed in the United States of America by Charles P. Young Company. No part of this manual may be reproduced by any means without the prior written consent of the authors.