ALERT!
This site is not optimized for Internet Explorer 8 (or older).
Please upgrade to a newer version of Internet Explorer or use an alternate browser such as Chrome or Firefox.
Another Complication of Peroral Endoscopic Myotomy
Page, Marilou B.; Shrestha, Smarika; Lazar, Michael; Campbell, David B. (2017): Another Complication of Peroral Endoscopic Myotomy.
CTSNet, Inc. https://doi.org/10.25373/ctsnet.5481517
Retrieved: 20:37, Oct 09, 2017 (GMT)
Abstract
Peroral endoscopic myotomy is a safe and effective palliative procedure with acceptable known complications for achalasia. With its continuous practice, cardiac arrest secondary to tension pneumopericardium-induced tamponade is another adverse event coming to light. The authors present the case of a 72-year-old gentleman who suddenly went into pulseless electrical activity during the procedure with no other warning signs. Hemodynamic stability was achieved with urgent pericardiocentesis.
Introduction
Achalasia is an incurable disease. Palliative treatment includes pharmacologic intervention, pneumatic dilatation, surgical myotomy, and peroral endoscopic myotomy (POEM). The authors present a case of cardiac tamponade secondary to tension pneumopericardium as another complication of POEM.
Case Report
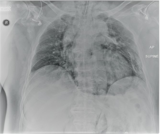
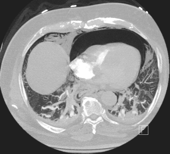
A 72-year-old gentleman with achalasia who weighed 91 kg was admitted for an elective POEM procedure (Figure 1). The procedure started with stable hemodynamics on a constant ventilator setting of respiratory rate of 10-16/hr; tidal volume of 443; positive end-expiratory pressure (PEEP) of 5 cm H2O; positive inspiratory pressure of 22-24; end tidal carbon dioxide of 28; arterial oxygen saturation of 100. However, 45 minutes into the procedure, the patient went into pulseless electrical arrest. The scope was withdrawn, and he was revived after 10 minutes of cardiopulmonary resuscitation. The procedure was aborted and he was transferred to the ICU intubated, critically ill, and on escalating doses of epinephrine and norepinephrine. Follow-up diagnostic imaging (Figures 2 and 3) showed a small heart with air tracking around it, the mediastinum, the esophagus, and the aorta, confirming tension pneumomediastinum.
Under echo-guided pericardiocentesis, the cardiogenic shock was instantaneously reversed upon entry of the needle into the highly pressurized pericardial sac. A total of 600 cc of air and very minimal serosanguinous fluid was evacuated through a 3-way stopcock with a 50 cc syringe. The patient's inotropic support and pericardial drain were discontinued within 36 hrs. Under endoscopic guidance, botox injections were performed 4 days after his cardiac arrest. He was ultimately extubated on postoperative day 8, after being treated for aspiration pneumonia. Follow up esophagram done a month later showed findings compatible with achalasia with no evidence of a leak. The patient was discharged after 54 days due to complications of aspiration pneumonia, sepsis, and acute kidney injury. During a 6-month follow-up visit, the patient's esophagogram showed achalasia, but he reported relief of symptoms of achalasia.
Discussion
Achalasia is a rare esophageal dysmotility disorder with an annual incidence of approximately 1.6 cases per 100,000 individuals and prevalence of 10 cases per 100,000 individuals [1, 2]. The disease is most common in adults and has no gender predilection. Palliative treatment is focused on decreasing the resting pressure of the lower esophageal sphincter, allowing passage of ingested material.
POEM is an endoscopic palliative procedure involving mucosotomy, submucosal tunnel creation, and circular myotomy at the gastroesophageal junction. The reported complications include pneumothorax (40%), pneumoperitoneum (40%), gastroesophageal reflux (32%), esophagitis, pharyngitis, intraoperative gastric mucosal perforation, left pleural effusion, subcutaneous emphysema, simple pneumomediastinum, delayed bleeding, and hydrothorax [2-4]. Decompression in the form of chest tube insertion or peritoneal drain is needed in 20% of cases [3]. Cardiac arrest secondary to tension capnopericardium due to a documented pinhole pericardial injury incurred during POEM was first reported in 2015. The patient recovered, and the capnopericardium resolved spontaneously within 2 hours [5].
The patient, who was fully anesthetized for the POEM, draped, and with no invasive hemodynamics monitoring, suddenly went into pulseless electrical activity with no heralding signs 45 minutes into the procedure. Potential reversible causes of arrest were investigated and ruled out, such as obvious endoscopic injury, hypoxia, hypovolemia, acidosis, hypokalemia, hyperkalemia, hypothermia, toxins, coronary thrombosis, pulmonary thrombosis, and bleeding. However, the potential for abnormal air collection in the mediastinum, pleura, and abdomen cannot be entirely ruled out without proper imaging. The potential sources of air are ruptured alveoli, high tidal volume, PEEP, circular myotomy, or air insufflation. Subtle, unmonitored accumulation of air from insufflated gas in the pleural space, abdomen, and mediastinum can lead to a catastrophic tension pneumothorax, abdominal compartment syndrome, and pneumomediastinum or tension pneumopericardium, leading to cardiovascular collapse.
Tension pneumothorax with hemodynamic instability presents with tracheal deviation and the absence of breath sounds on one side, whereas the heart sounds are muffled and precordial shifting tympani can be appreciated in tension pneumomediastinum. When the mean intrapericardial pressure exceeds 145 mm H2O or 60 cc of air acutely, central venous pressure and circulation time increase with a proportionate drop in the arterial pressure. The pericardial pressure should be 35-40 mm H2O lower than the venous pressure to sustain circulation. Furthermore, with the continuing rise in the intrapericardial pressure exceeding 266 mm H2O, right sided filling pressure is impaired, leading to an increase in intrapericardial pressure, hypotension, pulsus paradoxus, and cardiogenic shock [6]. Urgent decompression is warranted.
A report summarizing the results of ultrasound-guided pericardiocentesis from a multicenter study showed a 96-97% total success rate, 86-98% success rate on the first attempt, major complications of 0.7-3%, and 1.2-7% minor complications [7, 8]. In comparison, unguided pericardiocentesis has a mortality of 6% and 20-50% complication rate [9]. In some cases in which the patient is close to death and image guidance is not available, unguided pericardiocentesis is still a viable option.
Other diagnostic tools include echocardiography, MRI, chest x-ray, or CT scan. CT scan has the greatest discriminating power for air collections among these tests. Electrocardiogram is very nonspecific. Optional treatment for asymptomatic, simple pneumopericardium are observation, bedrest, pain relief, and treatment of the primary condition.
References
- Sadowski DC, Ackah F, Jiang B, Stevenson LW. Achalasia: incidence, prevalence and survival. A population-based study. Neurogastroentero Motil. 2010; 22(9):e256-261.
- Worrell SG, Alicuben ET, Boys J, DeMeester SR. Peroral endoscopic myotomy for achalasia in thoracic surgical practice. Ann Thorac Surg. 2016; 101(1):218-225.
- Swanston L. Advances in GERD: Current developments in the management of acid-related disorders. Gastroenterol Hepatol. 2012;8:6135.
- Zhang XC, Li QL, Xu MD, et al. Major perioperative adverse events of peroral endoscopic myotomy: a systematic 5-year analysis. Endoscopy. 2016;48(11):967-978.
- Banks-Venegoni AL, Desilets DJ, Romanelli JR, Earle DB. Tension capnopericardium and cardiac arrest as an unexpected adverse event of peroral endoscopic myotomy. Gastrointest Endosc. 2015 Dec;82(6):1137-1139.
- Adcock JD, Lyons RH, Barnwell JB. The circulatory effects produced in a patient with pneumopericardium by artificially varying the intrapericardial pressure. Am Heart J. 1940;19:283-291.
- Tsang TS, Enriquez-Sarano M, Freeman WK, et al. Consecutive 1127 therapeutic echocardiographically guided pericardiocenteses: clinical profile, practice patterns, and outcomes spanning 21 years. Mayo Clin Proc. 2002;77(5):429-436.
- Tsang TS, Barnes ME, Hayes SN, et al. Clinical and echocardiographic characteristics of significant pericardial effusions following cardiothoracic surgery and outcomes of echo-guided pericardiocentesis for management: Mayo Clinic experience, 1979-1998. Chest. 1999;116(2):322-331.
- Tsang TS, Freeman WK, Sinak LJ, Seward JB. Echocardiographically guided pericardiocentesis: evolution and state of the art technique. Mayo Clin Proc. 1998;73(7):647-652.







