ALERT!
This site is not optimized for Internet Explorer 8 (or older).
Please upgrade to a newer version of Internet Explorer or use an alternate browser such as Chrome or Firefox.
Bronchogenic Cyst
Jan A, Amin QK, Awan N, et al.. Bronchogenic Cyst. September 2019. doi:10.25373/ctsnet.9738779.
Introduction
Bronchogenic cysts are congenital abnormal growths of the foregut that typically have a thin wall and are filled with mucous or fluid. They can occur at any part of the tracheobronchial tree but are most often found in the right paratracheal region or the subcarinal region. They are found most often in young adults and are rare in infancy. Most bronchogenic cysts are found in the mediastinum.
Case Report
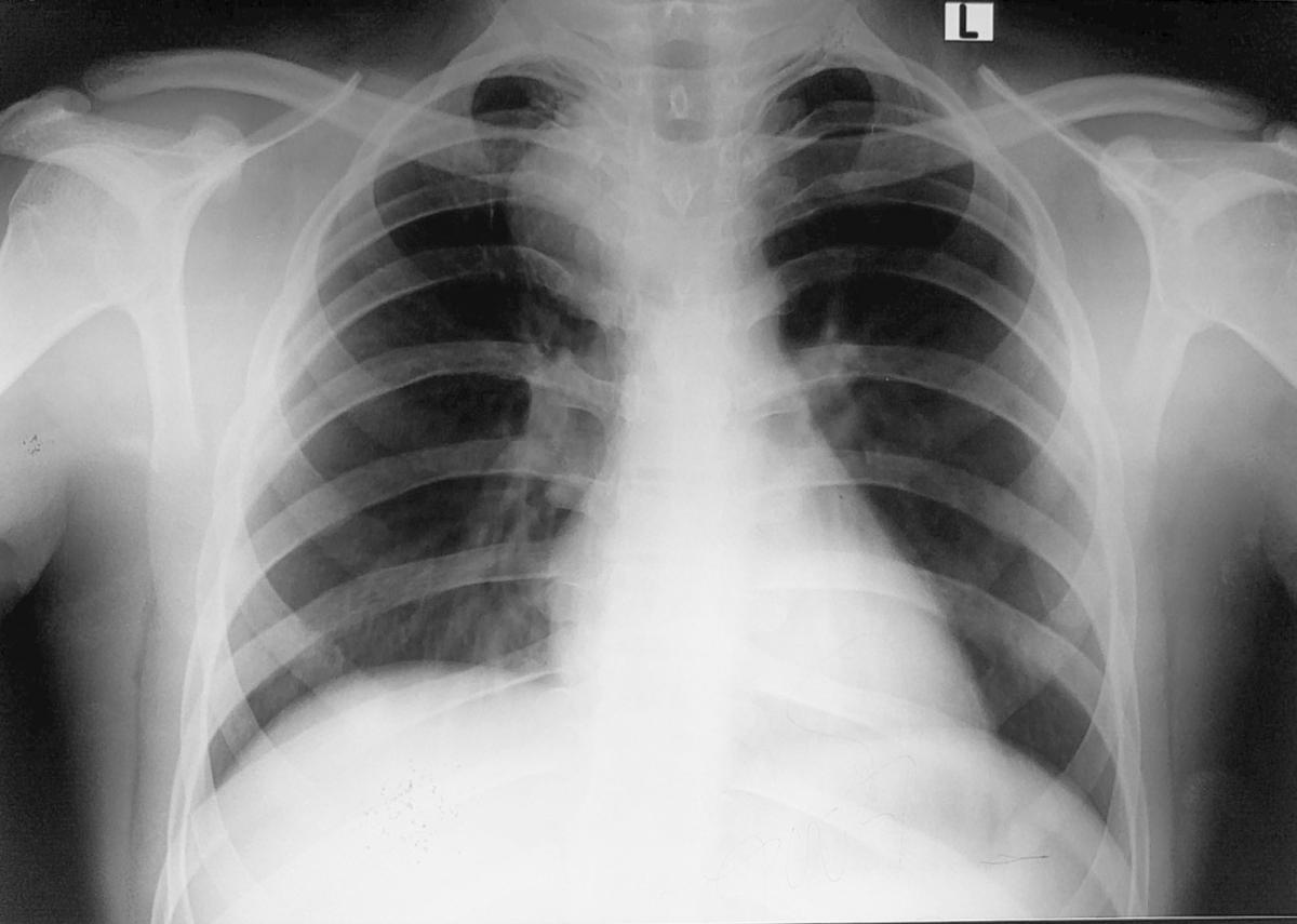
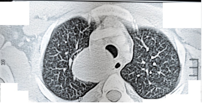
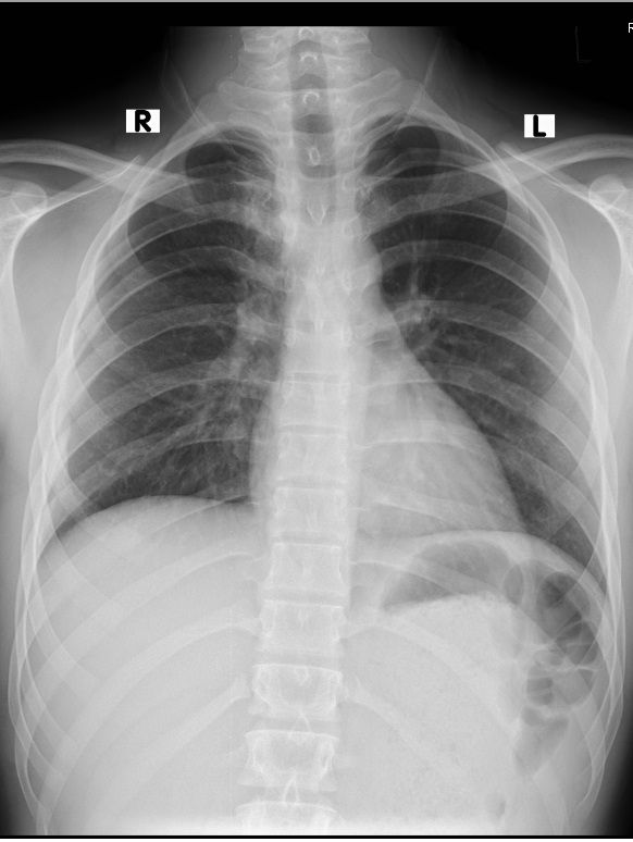
A 16-year-old boy presented with chest pain for the previous seven days that was more on the right side, gradual in onset, dull in character, intermittent, and radiating to the back. It was aggravated on exertion and was relieved with rest. The pain was associated with shortness of breath. The patient also complained of dysphagia, which was occasional and progressive. There was no history of cough or recent chest infection. General physical and systemic examinations were unremarkable. He had a low-grade fever with a hemoglobin of 13.5 g/dl, white cell count of 12.4/dL, and ESR of 52. Other routine lab investigations were within normal limits. His chest x-ray showed a right mediastinal round opacity on the right side of the carina. On his CECT scan Chest, the authors found a well-marginated nonenhancing thick fluid-attenuating lesion centered at the right paratracheal location in the middle and posterior mediastinum on the right side that was pressing on the esophagus and trachea.
Figure 2. CECT of the chest showing a round homogenous cystic lesion in the right paratracheal region pressing on the esophagus and trachea.
The patient was diagnosed as having a bronchogenic cyst. The authors decided to treat the patient surgically. The patient underwent a right-sided posterolateral thoracotomy via the fifth intercostal space. A round, smooth, uniform, soft, cystic mass in the posterior mediastinum was found, measuring 3.5 x 2 x 3 cm. The mass was extrapleural, adherent to the esophagus and trachea posteromedially, to the apical lobe of the lung anterolaterally, and to the azygous vein inferiorly. The pleural layer was peeled off the mass. The mass was dissected free from surrounding structures and was found to be growing from the right main bronchus from a pedicle. The pedicle was found to be cartilaginous on palpation. The pedicle was ligated, and the mass was excised. The pleura was closed back with Vicryl sutures. The chest cavity was washed with normal saline and checked for air leak. Two chest tubes were placed: posteroapically and posterobasally. Routine chest closure was performed. The patient was extubated and subsequently shifted to the ward in stable condition. Postoperatively, chest x-ray showed a fully expanded lung with no residual opacity. On the second postoperative day, the chest tubes were removed and the patient was discharged.
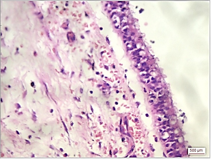
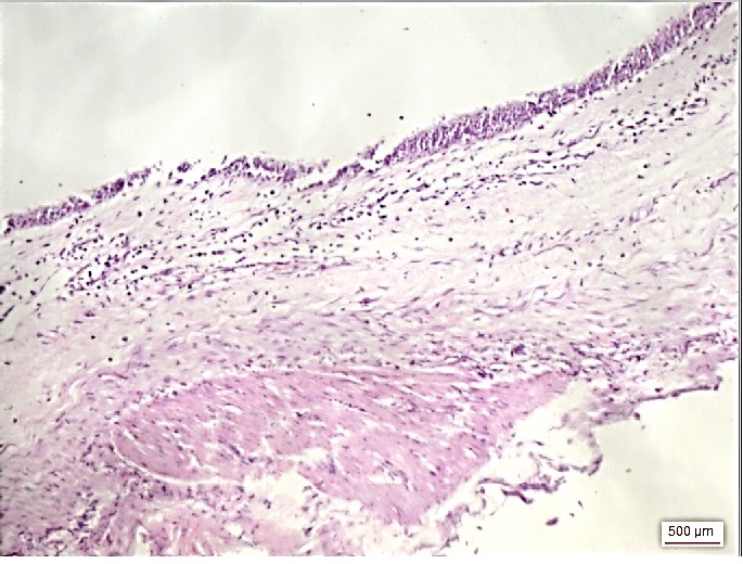
The specimen was sent for histopathology, which confirmed the mass to be cystic in nature. Macroscopically, it measured 3.5 x 2 x 3 cm and was described as a paper-thin walled cyst with black inked outer surface. On slicing, it revealed a homogenous, brown, serous fluid. Microscopically, the cyst was lined by a pseudostratified, ciliated, columnar epithelium with underlying smooth muscle fascicles and mild infiltration of chronic inflammatory cells. There was no evidence of malignancy noted. A diagnosis of bronchogenic cyst was made based upon the operative and histopathological findings.
Discussion
Bronchogenic cysts are formed in the sixth week of gestation from an abnormal budding of the tracheal diverticulum. These cysts are abnormal growths of tissue that typically have thin walls, are filled with mucous or fluid, and are lined by ciliated epithelium. Histologically, these are also composed of cartilage, smooth muscle, fibrous tissue, and mucous glands. These cysts are located close to the trachea or main stem bronchi.

Figure 6. Photomicrograph showing pseudostratified, ciliated, columnar epithelium with prominent cilia on the top.
They are found most often in young adults and are rare in infancy. Usual symptoms appear as a result of compression by the cyst, e.g., difficulty breathing or swallowing, cough, and chest pain. Diagnostic modalities used for bronchogenic cysts are x-ray, computed tomography scan, esophagogram, and magnetic resonance imaging scan. Bronchoscopy might be helpful, too. Treatment options are surgical excision either through a conventional open thoracotomy, video-assisted thoracoscopic procedure, or robotic resection, depending upon availability and affordability.
Conclusion
Surgical resection of a bronchogenic cyst via an open thoracotomy or minimally invasive surgery was the best treatment option at the time.
Additional Resources
- James WD, Berger TG, Elston DM. Andrews' Diseases of the Skin: Clinical Dermatology. 10th ed. Philadelphia, PA: Saunders Elsevier; 2006.
- Boston Medical Center. Bronchogenic cysts. https://www.bmc.org/thoracic-surgery/bronchogenic-cysts. Accessed July 29, 2019.













Comments