ALERT!
This site is not optimized for Internet Explorer 8 (or older).
Please upgrade to a newer version of Internet Explorer or use an alternate browser such as Chrome or Firefox.
COVID-19 Pneumonia Associated With Spontaneous Pneumomediastinum and Pneumopericardium
Murillo Brito DA, Villalva CEA, Simón AS, Guisado-Clavero M. COVID-19 Pneumonia Associated With Spontaneous Pneumomediastinum and Pneumopericardium. June 2020. doi:10.25373/ctsnet.12485831
Severe acute respiratory syndrome coronavirus 2 (SARS-CoV-2), which originated in Wuhan, China, is spreading around the world, and the outbreak continues to escalate. Clinical features of patients with coronavirus disease 2019 (COVID-19) usually include dry cough, fever, diarrhea, vomiting, and myalgia (1-2). However, atypical presentation and complications are described (3, 4). The authors report a case of pneumopericardium, pneumomediastinum, and subcutaneous emphysema associated with COVID-19.
A 58-year-old nonsmoking man was admitted to IFEMA COVID-19 field hospital with seven days of fever, occasional cough, and anosmia. Initial physical examination only showed bibasilar crackles. Chest X-ray showed bibasilar pneumonia. Analysis revealed mild lymphopenia, and moderate D-Dimer, PCR, and LDH elevation. The rRT-PCR test was positive for 2019-nCoV. He started treatment with hydroxychloroquine-ceftriaxone.
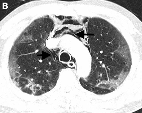
On hospital day five, the patient developed dysphonia, dysphagia, pleuritic pain, and subcutaneous emphysema in the supraclavicular region. His oxygen saturation was maintained at 97% with O2 at 3L / min through nasal cannula. A chest X-ray (Figure 1) and CT scan showed cervico-mediastinal emphysema (Figure 2) with pneumopericardium (Figure 3) and worsening lung infiltrates without pneumothorax.
The authors continued the same treatment and clinical-radiological follow-up. The patient maintained respiratory stability without increased oxygen requirements.Pneumopericardium is a rare condition, occasionally accompanied by pneumomediastinum, and is usually associated with positive pressure ventilation, thoracic surgery/pericardial fluid drainage, penetrating trauma, blunt trauma, infectious pericarditis with gas-producing organisms, and fistula between the pericardium and an adjacent air-containing organ (5).
The clinical course is usually benign but it can be potentially serious due to pericardial tamponade (6). The coexistence of pneumopericardium, pneumomediastinum, and subcutaneous emphysema is very rare and usually occurs in young people with blunt trauma or asthma (7). None of the processes previously mentioned were present in this patient, so it was concluded that there was an association with his COVID-19 pneumonia. Among the atypical manifestations being described by COVID-19, pneumopericardium has not been reported. Only one patient with pneumomediastinum has been communicated (2). Pneumopericardium and pneumomediastinum should be considered in the differential diagnosis of chest pain or worsening disease in patients with COVID-19 pneumonia.References
- Huang C., Wang Y., Li X, Ren L, Zhao J, Hu Y, et al. Clinical features of patients infected with 2019 novel coronavirus in Wuhan, China. Lancet. 2020;395:497–506.
- Elsevier . 2020. Novel Coronavirus Information Center. [internet] Acceded 20th April 2020:
https://www.elsevier.com/connect/coronavirus-information-center - G Toscano, F Palmerini, S Ravaglia, L Ruiz, P Invernizzi, M G Cuzzoni, et al. Guillain-Barré
syndrome associated with SARS-CoV-2. N Engl J Med. 2020 Apr 17. c2009191. - Changyu Zhou, Chen Gao, Yuanliang Xie, Maosheng Xu. COVID-19 with spontaneous
pneumomediastinum. Lancet Infect Dis. 2020 Apr;20(4):510. - Muñoz Avila JA, Jiménez Murillo LM, Montero Pérez FJ, Calderón de la Barca
Gázquez JM, Berlango Jiménez A, Durán Serantes M, et al. Pneumopericardium:
review of the literature. Rev Clin Esp. 1994 Oct;194(10):926-928. - Cummings RG, Wesly RL, Adams DH, Lowe JE. Pneumopericardium resulting in cardiac
tamponade. Ann Thorac Surg. 1984 Jun;37(6):511-518. - Giuliani S, Franklin A, Pierce J, HFord H, Grikscheit TC. Massive subcutaneous emphysema, pneumomediastinum, and pneumopericardium in children. J Pediatr Surg. 2010 Mar;45(3):647-649.
Disclaimer
The information and views presented on CTSNet.org represent the views of the authors and contributors of the material and not of CTSNet. Please review our full disclaimer page here.



Figure 3. 


