ALERT!
This site is not optimized for Internet Explorer 8 (or older).
Please upgrade to a newer version of Internet Explorer or use an alternate browser such as Chrome or Firefox.
Case Study: A Masquerading Pericardial Effusion
Case Study
The estimated prevalence of primary pericardial tumors is 0.001-0.007%, according to Meng et al (1) and Patel et al (2). The most common malignant tumor is mesothelioma (3). Pericardial cyst is the most common benign tumor, followed by lipoma. Vascular neoplasms comprise 1-2% of cardiac tumors (4), but an isolated pericardial origin of such a tumor has not been previously documented. This case describes an isolated, small intrapericardial hemangioma that was responsible for a symptomatic, massive recurrent pericardial effusion.
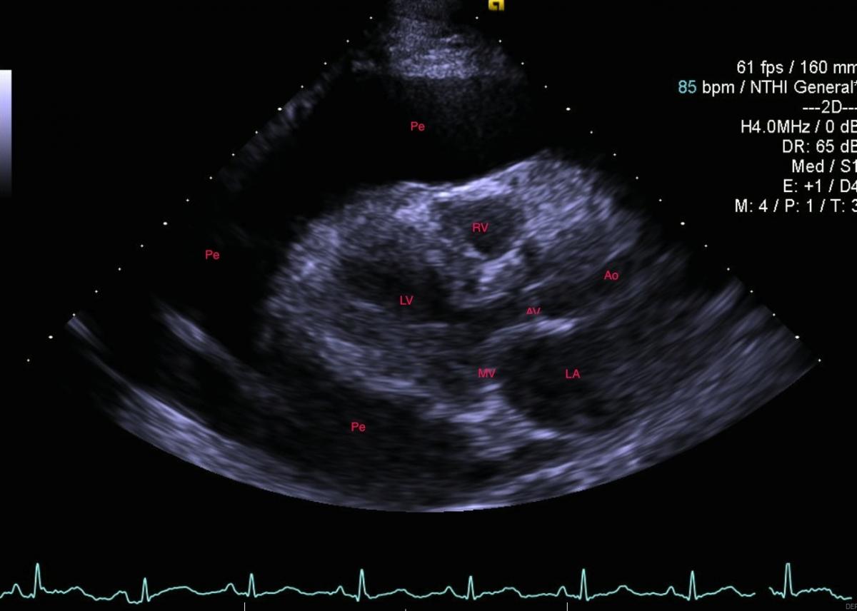
A 58-year-old woman presented with a symptomatic, massive pericardial effusion. Due to shortness of breath for over three months, she underwent percutaneous pericardial drainage (Fig. 1). She had no other significant medical problems.
1.5 liters of serous, odorless fluid was removed and the echo appearance normalized, showing only trace pericardial fluid and a well-preserved ejection fraction. However, within four weeks the effusion re-accumulated as shown in the CXR (Fig.2) and echo showed early tamponade.
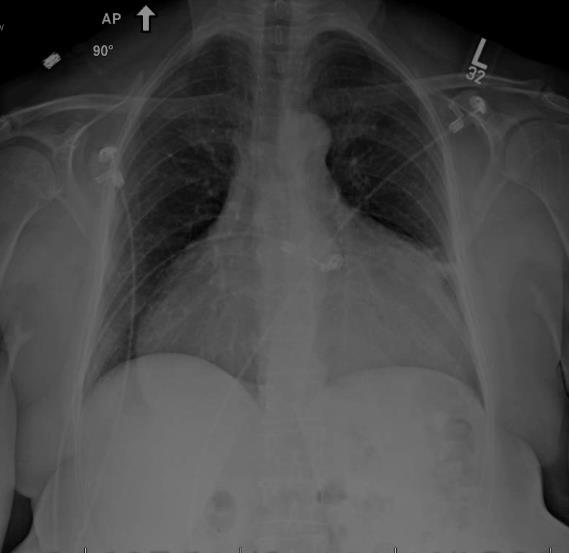
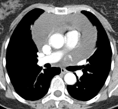
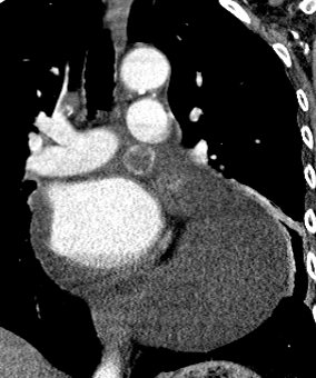
Cardiothoracic surgery was contacted for a pericardial window and biopsy. A repeat contrast enhanced chest CT scan suggested an 18 x 16 mm peripherally enhancing intrapericardial mass, with central low attenuation between the main pulmonary artery and the left atrial appendage. The pericardial effusion was massive, the pericardium was mildly thickened, and a right apical 3 mm pulmonary nodule was evident (Fig. 3).
An exam showed no distress, with head elevated at 30°, flat neck veins, distant heart sounds, clear breath sounds, soft and non-tender abdomen, good peripheral pulses, and a right upper extremity flat cutaneous vascular malformation. Vital signs and hemodynamics were: BP-120-140/70-80; HR-90-NSR; RR-18; SaO2-95% on room air, weight 63.5 kg, afebrile.
At the time of the operation, via sternotomy, the pericardium was markedly inflamed, somewhat thickened, and quite hypervascular (Fig. 4). 1.5 liters of clear, serous, odorless fluid was drained. The heart looked normal with good contractility, with only a few fibrin streaks on the surface.
A length of vaginal packing was anchored posteriorly between the inferior pulmonary veins and used to elevate and rotate the heart to the right side. Behind the left side of the heart was a glistening, smooth, red, vascular pericardial mass at the fold of Marshall. The pericardial mass was near the left atrial appendage but unattached to the heart, below the left pulmonary artery, medial and superior to the left superior pulmonary vein, and encased with the pericardium (Fig. 5).
Vital signs were stabilized with the repositioned heart (Fig. 6) and the mass was then dissected in toto, using a combination of cautery and sharp dissection. The mass was solely intrapericardial in origin and location, without any other connection or feeding vessels from any cardiac or mediastinal structures. Pericardiectomy and wedge excision of the right apical mass completed the operation. The patient was discharged without complications on the third postoperative day.
Figure 6: Off pump dissection of the mass. The heart was rotated and suspended with tapes and a posterior sponge.
Figure 7: The tumor was smooth, yellow tan, translucent, and gelatinous. It weighed 1.4 grams and measured 1.9 x 1.5 x 1.4 cm.
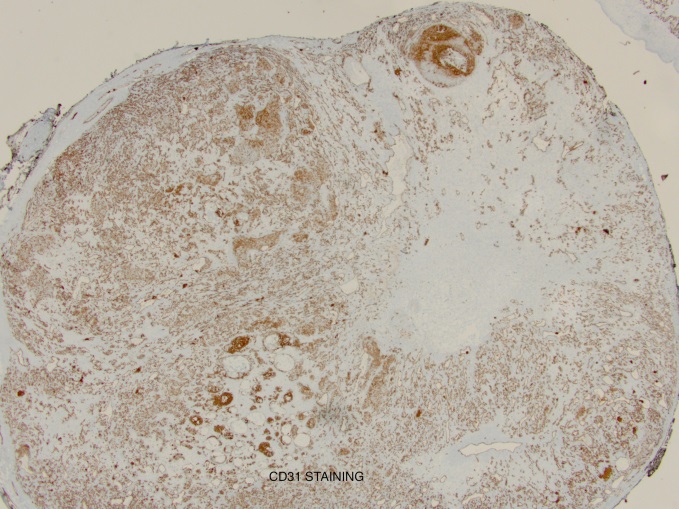
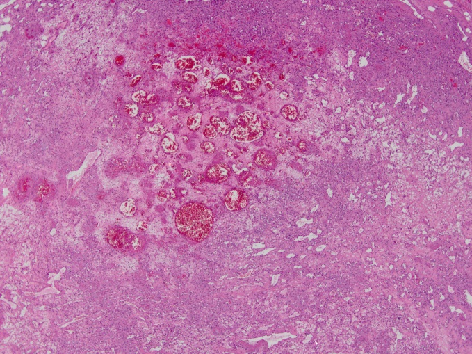
The excised tumor appeared gelatinous and histopathology revealed vascular channel proliferations with central myxoid changes. Staining was highly positive for CD31 and negative for CKAE1/3 and calretinin, which is highly suggestive of a vascular proliferative lesion of pure endothelial origin (Fig.8). Pericardial details included only mild chronic inflammation, and lung sections demonstrated subpleural fibroelastosis and peribronchial metaplasia.
Comments
Hemangiomas are generally benign vascular tumors with increased endothelial cell turnover. They are predominantly seen in the skin (4). Histologic classifications include cavernous, capillary, or arteriovenous types. An estimated 1-2% of all detected cardiac tumors are hemangiomas (5). The natural history is unpredictable and varies from clinically silent, which may regress spontaneously, to rapid growth or malignant transformation (6). Associated findings may include arrhythmias, heart block, angina, thromboembolic events, heart failure symptoms, outflow tract obstruction, pericardial effusion, and tamponade. Such erratic clinicophysiologic manifestations are not unusual in these benign tumors. Effusion is thought to result from mechanical irritation by friction or blood vessel rupture. The relationship between this patient’s tumor and the documented pericardial inflammation is not clear. The varied clinical presentations depend on the tumor location, degree of invasiveness, size, mobility and associated findings. To date, there is no exact predilection with regards to gender, age, or location. Improved imaging techniques have aided early detection and operative planning. Echocardiography, especially color Doppler, can show flow within large hemangiomas. MRI and CT techniques can define tumor location, delineate extent and invasiveness, whereas angiography usually shows a characteristic tumor blush. Blood studies are not diagnostic.
No cases of isolated pericardial hemangioma were identified by the authors’ searches. The fold of Marshall is a remnant of the left superior vena cava-coronary sinus junction, so the occurrence of a vascular tumor in this location is curious. This patient’s cardiac anatomy was unremarkable, and the apparently unique pericardial tumor was identified only after a contrast CT was done to investigate the status of the pericardial cavity, pericardium, and its contents after rapid recurrence of a massive effusion. The characteristic CT appearance suggested a vascular type of tumor. Coronary angiography was not done because of the patient’s age and lack of angina. After achieving stable exposure, this patient’s resection was simple and margins were clear. Despite its varied and uncertain clinical behavior, complete excision is considered the standard of care, and a favorable outcome is anticipated. Heart transplantation has also been done for a large cardiac hemangioma. It is notable, however, that reports of hemangiomas in other locations describe spontaneous resolution (7), or disappearance after steroid administration (8).
This patient has normal chest imaging studies and no symptoms over one year after tumor resection and pericardiectomy.
References
- Meng Q, Lai H, Lima J, Tong W, Qian Y, Lai S. Echocardiographic and pathologic characteristics of primary cardiac tumors: a study of 149 cases. Int J Cardiol 2002; 84(1):69–75.
- Patel J, Sheppard MN. Pathological study of primary cardiac and pericardial tumors in a specialist UK center: surgical and autopsy series. Cardiovasc Pathol 2010;19(6):343–352
- Gupta N. Intrapericardial Hemangioma: A Case Report. Journal of Clinical and Diagnostic Research. 2013January; 7(1): 169-170.
- Botha J, Ihlberg L, Brister S, et al. A Giant Cavernous Hemangioma of the heart. Ann Thorac Surg 2010; 90:293-5
- Kipfer B, Englberger L, Stauffer E, Carrel T. Rare presentation of cardiac hemangiomas. Ann Thorac Surg 2000; 70: 977–9.
- Thomas, J.E., Eror, A.T., Kenney, M., and Caravalho, J. Asymptomatic right atrial cavernous hemangioma: a case report and review of the literature. Cardiovascular Pathol. 2004; : 341–344
- Palmer TE, Tresch DD, Bonchek LI. Spontaneous resolution of a large, cavernous hemangioma of the heart. Am J Cardio 1986; 58:184 –5?
- Chang JS, Young ML, Lue HC. Infantile cardiac hemangioendothelioma. Pediatr Cardiol 1992; 13:52–5.





Comments