ALERT!
This site is not optimized for Internet Explorer 8 (or older).
Please upgrade to a newer version of Internet Explorer or use an alternate browser such as Chrome or Firefox.
Dacron Sleeve Around Ascending Aorta Without Excising the Aortic Tissues for Patients with Dilated Ascending Aorta Undergoing Aortic Valve Surgery
Index
A Dacron sleeve around the dilated ascending aorta is a simple technique that allows the ascending aorta to adopt the shape of the Dacron tube graft which avoids wrinkle formation, dislocation and erosion.

Dilation of the ascending aorta can be managed by aortic wrapping [1, 2]. A Dacron sleeve around the dilated ascending aorta is a simple technique that retains the smoothness of the internal surface of the Dacron graft.
Surgical wrapping of mild to moderate ascending aortic dilatation at the aortic valve is associated with early, reversed remodeling of the remaining proximal and distal aorta, without any short-term complications [1]. It retards further aortic dilation, thus altering the natural history of aortic aneurysms [3, 4]. In bicuspid aortic valve patients it prevents further dilatation, aneurysm formation and dissection [5, 6]. Midterm results are excellent for high risk patients [7].
There are several techniques described in the literature for ascending aortic wrapping. These include:
- Wrap without aortoplasty [1, 2, 3]
- Wrapping of the ascending aorta with a fine transparent and stretchable Dacron mesh [3]
- Manually pre-prepared prosthesis which respects the shape of the aorta [8]
- Reduction aortoplasty with wrapping [5, 7, 9, 10, 11]
- Vertical reduction aortoplasty, endarterectomy, and external wrapping [12]
- Off pump aortoplasty with external wrap [13]
There are cases reported in the literature of aortic erosion after external wrap [9, 13] that confirm the importance of technique and a good fitting of the Dacron wrap to avoid dislocation and subsequent complications.
This Dacron sleeve technique allows the ascending aorta to adopt the shape of the Dacron tube graft, which avoids wrinkle formation, dislocation and erosion. Dacron sleeve technique without excising the aortic tissue preserves the original tissues of the ascending aorta giving more strength and smooth endothelium internally. In addition, one aortic suture line decreases the haemostasis problem and risk of leakage and shortens the cross clamp time as compared to reduction aortoplasty and external wrap. Dacron sleeve does not require longitudinal division of the Dacron tube graft, as in other wrapping techniques, so the original circumference of Dacron tube graft remains intact, manufactures strength, and the contour of the Dacron tube graft does not alter.
We have used Dacron sleeve in 14 patients from 2005 - 2012. All patients had immediate post-operative TOE that confirmed a wrinkle free, smooth reduction of the ascending aorta diameter.
Patient Selection
Patients were identified during preoperative work-up for aortic valve surgery. We selected patients whose ascending aorta was dilated or aneurysmal and with an ascending aorta diameter 4 cm or more.
Preoperative Evaluation
Ascending aorta dilatation should be confirmed with CT scan, aortography, or TOE.
Operative Steps
- Median sternotomy and pericardiotomy as routine.
- Dissect ascending aorta as much as can easily be done, especially distally and in the aorto-pulmonary window.
- Give heparin as usual.
- Select aortic cannulation site as distal as possible at the level of brachiocephalic artery or beyond (proximal transverse aortic arch). Establish cardiopulmonary bypass as routine for aortic valve surgery.
- Nylon tapes around ascending aorta.
- Once again dissect and separate ascending aorta from surrounding tissues.
- Measure and take the length of ascending aorta from root to the origin of brachiocephalic artery.
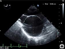
- Choose an appropriate diameter Dacron tube graft, for example, 1.5-2 cm less the diameter of ascending aorta. In this patient we used 3.8 cm Dacron tube graft when proximal and distal ascending aorta were 5.4 cm and 5.69 cm respectively on preoperative TOE (Figures 3 & 4).
- Divide Dacron tube graft as per measured length of ascending aorta (Figure 5).
- Fold Dacron graft and hold in folded position with the help of two or three silk sutures (Figure 6).
- Cross clamp, cardioplegia, aortotomy, and excision of aortic valve as routine.
- Divide aorta by extending aortotomy.
- Dissect under surface of aorta: proximally to the root and distally to the under surface of arch.
- Replace aortic valve as per routine.
- Distal part of aorta passed back through the folded Dacron graft.
- Aorta re-anastomosed with 4.0 continuous sutures.
- Unfold Dacron graft by dividing silk suture and then extend the graft to cover the entire ascending aorta.
- Ask perfusionist to reduce flow in order to reduce perfusion pressure thus facilitating the easy unfolding and spreading of Dacron graft including aortotomy suture line.
- Come off bypass as routine.
- Give protamine and remove aortic cannula.
- Cover the aortic cannulation site with Dacron sleeve by slightly stretching over it (Figure 7).
Tips & Pitfalls
- Pass nylon tape when patient on bypass.
- Full dissection of ascending aorta is accomplished in three stages. First just after opening of pericardium and before heparin, second after start of bypass, third after dividing aorta before implanting new valve.
- Take measurement when patient is on bypass and most of the ascending aorta is dissected free from surrounding tissues.
- Check aortotomy suture line three times, first before unfolding Dacron sleeve, second before coming off bypass, third before giving protamine.
- Unfold and spread Dacron sleeve while patient still on bypass and keep aortic pressure very low by momentarily reducing the flow.
References
- Ang KL, Raheel F, Bajaj A, Sosnowski A, Galiñanes M. Early impact of aortic wrapping on patients undergoing aortic valve replacement with mild to moderate ascending aorta dilatation. J Cardiothoracic Surg. 2010 Aug 6; 5:58. PubMed PMID: 20691060; PubMed Central PMCID: PMC2922107.
- Tagarakis GI, Karangelis D, Baddour AJ, Daskalopoulos ME, Liouras VT, Papadopoulos D, Stamoulis K, Lampoura SS, Tsilimingas NB. An alternate solution for the treatment of ascending aortic aneurysms: the wrapping technique. J Cardiothoracic Surg. 2010 Nov 3; 5:100. PubMed PMID: 21047398; PubMed Central PMCID: PMC2987920.
- Cohen O, Odim J, De la Zerda D, Ukatu C, Vyas R, Vyas N, Palatnik K, Laks H. Long-term experience of girdling the ascending aorta with Dacron mesh as definitive treatment for aneurysmal dilation. Ann Thorac Surg. 2007 Feb; 83(2):S780-4; discussion S785-90.
- Belov IV, Stepanenko AB, Gens AP, Savichev DD, Charchyan ER. Reduction aortoplasty for ascending aortic aneurysm: a 14-year experience. Asian Cardiovasc Thorac Ann. 2009 Apr; 17(2):162-6. PubMed PMID: 19592547.
- Kuralay E, Demirkilic U, Ozal E, Oz BS, Cingöz F, Günay C, Ceylan S, Arslan M, Tatar H. Surgical approach to ascending aorta in bicuspid aortic valve. J Card Surg. 2003 Mar-Apr; 18(2):173-80. PubMed PMID: 12757349.
- Olearchyk AS. Congenital bicuspid aortic valve disease with an aneurysm of the ascending aorta in adults: vertical reduction aortoplasty with distal external synthetic wrapping. J Card Surg. 2004 Mar-Apr; 19(2):144-8. PubMed PMID: 15016053.
- Haddad R, Fagundes WV, Pinheiro BB. Reduction aortoplasty with external wrapping associated with aortic valve replacement in high-risk patients. Rev Bras Cir Cardiovasc. 2009 Jun; 24(2):194-9. PubMed PMID: 19768299.
- Tappainer E, Fiorani V, Nocchi A, Likaj E, Memishaj S, Zogno M. Safe wrapping of the borderline dilated ascending aorta during aortic valve replacement. J Cardiothoracic Surg. 2007 Feb 22; 2:15. PubMed PMID: 17316443; PubMed Central PMCID: PMC1819379.
- Bauer M, Grauhan O, Hetzer R. Dislocated wrap after previous reduction aortoplasty causes erosion of the ascending aorta. Ann Thorac Surg. 2003 Feb; 75(2):583-4.
- Arsan S, Akgun S, Kurtoglu N, Yildirim T, Tekinsoy B. Reduction aortoplasty and external wrapping for moderately sized tubular ascending aortic aneurysm with concomitant operations. Ann Thorac Surg. 2004 Sep; 78(3):858-61.
- Olearchyk AS. Congenital bicuspid aortic valve and an aneurysm of the ascending aorta. J Card Surg. 2004 Sep-Oct; 19(5):462-3. PubMed PMID: 15383061.
- Olearchyk AS. Operative management of atherosclerotic aortic aneurysm in a patient with bicuspid aortic valve disease. J Card Surg. 2004 Jul-Aug; 19(4):354-5. PubMed PMID: 15245469.
- Akgun S, Atalan N, Fazlio ğullari O, Kunt AT, Basaran C, Arsan S. Aortic root aneurysm after off-pump reduction aortoplasty. Ann Thorac Surg. 2010 Nov; 90(5):e69-70.









