ALERT!
This site is not optimized for Internet Explorer 8 (or older).
Please upgrade to a newer version of Internet Explorer or use an alternate browser such as Chrome or Firefox.
Uniportal Left Upper Lobectomy with Totally Incomplete Fissure
Uniportal VATS pulmonary anatomical and wedge resections are becoming common worldwide, but there are difficulties associated with the procedure. For example, when the operating surgeon tries to find small undiagnosed intraparenchymal pulmonary nodules or performs left-upper lobectomies with totally fused fissures.
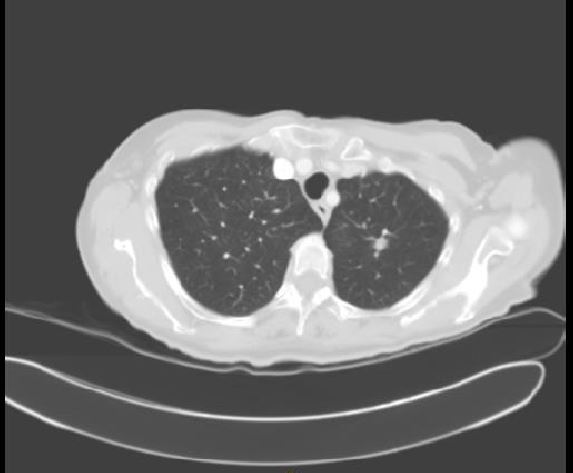
Figure 1.
This video shows a 73-year-old woman with a past history of gastric adenocarcinoma in 2007 and a recent small intraparenchymaal undiagnosed nodule in the left-upper lobe with radiological growth. The PET scan showed only a SUV max of 2.5 gr/mL image in the left-upper lobe. Bronchoscopy and transthoracic fine-needle aspiration (FNA) were negative for diagnosis. Lung function tests were normal.
With a 5 cm incision in the 5th intercostal space, the operating surgeon first localized the nodule by palpation, and made a wide wedge resection with an intraoperative diagnosis of pulmonary adenocarcinoma with lepidic growth. He then completed a left-upper lobectomy with difficulty, because in a uniportal VATS approach the steps are always performed from anterior to posterior, so when a totally incomplete fissure was discovered, the operating surgeon needed to open it in order to control the left-upper branches of the pulmonary artery. This step allowed the operating surgeon to transect these arterial branches first, separate the upper lobe from the lower lobe, and finally place the bronchial stapler avoiding possible injuries of the pulmonary artery. The surgery continued with an exhaustive lymphadenectomy of the interlobar, hilar, paraaortic, aortopulmonary window, subcarinal, and lower levels.
The pathologic exam of the specimen reveals an adenocarcinoma with lepidic growth of 1 cm, with margins free of tumor, and all the lymph nodes were negative. Anatomic and wedge pulmonary resections are feasible using a uniportal VATS approach, including left-upper lobectomies with totally incomplete fissures.





Comments