ALERT!
This site is not optimized for Internet Explorer 8 (or older).
Please upgrade to a newer version of Internet Explorer or use an alternate browser such as Chrome or Firefox.
The Anterior Trans-cervical Approach to Remove a Desmoid Tumor of the Thoracic Inlet Followed by Chest Reconstruction Using the Stratos™ System and PTFE Patch
The anterior cervicothoracic approach was used to remove a desmoid tumor of the thoracic outlet in a 70-year-old male. The chest wall was reconstructed with titanium bars and a polytetrafluoroethylene-patch. The clavicle was fixed using a titanium clip. The postoperative period was uneventful.
Desmoid tumors (DTs) are rare neoplasms belonging to the group of soft tissue sarcomas. DTs account for less then 0.5% of all solid tumors and in only 8-10% of the cases are localized in the chest wall. DTs with distant spread have never been documented, but these tumors are locally aggressive and they have a high incidence of local recurrence. For these reasons, radical resection with wide surgical margins has been considered the best treatment. However, the involvement of a complex anatomical region such as the thoracic outlet represents a challenge for the surgeon.
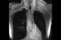
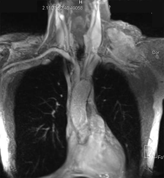
A 70-year-old male presented with a 16-month history of cervical and left shoulder pain. Computed tomography showed an oval solid lesion measuring 10 x 6 x 5.5 cm in the left lateral cervical space. An incisional biopsy revealed that the mass to be a low-grade spindle cell tumor compatible with DT. Magnetic resonance imaging of the neck and thorax showed an encapsulated lesion in the left lateral cervical region with marked contrast enhancement. The subclavian vessels and the brachial plexus were dislocated anteriorly, apparently not infiltrated by the mass (Figure 1).

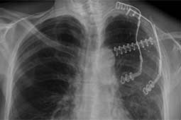
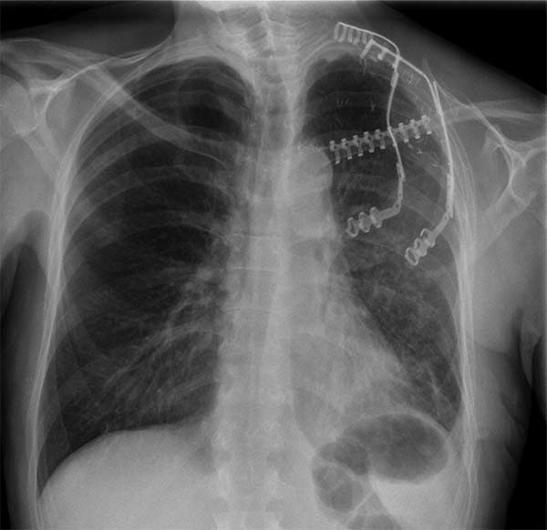
Surgery was performed with curative intent. The patient was positioned supine with the neck fully extended and the head turned away from the tumor. The tumor was approached through the anterior trans-cervical approach described by Dartevelle. This approach allowed us to dissect the subclavian vascular bundle and the nerve roots of the brachial plexus freely, quickly and safely without sacrificing the radical intent of the operation. After assessing the extent of the tumor from inside and outside of the chest, the lateral arches of the first, second and third ribs were cut and removed en-bloc with the surgical specimen (Figure 2). Due to the high risk of de-stabilizing the shoulder girdle after resection of the first three ribs, clavicle division and muscle resection, we reconstructed the chest wall and clavicle using the Stratos™ titanium bars and clips (Strasbourg Thoracic Osteosyntheses System; MedXpert, Heitersheim, Germany) (Figure 3). The chest wall defect and the reconstructed clavicle were covered with polytetrafluoroethylene (PTFE) patches (Figure 4).

During follow-up the respiratory function and dynamics were optimal and there was no mechanical failure of the titanium bars and clips. The surgical margins were free from disease, and after 6-months follow-up the patient is free from disease recurrence.








