Introduction
Pulmonary sequestrations are rare congenital malformations of lung tissue that do not connect normally to the tracheobronchial tree and receive systemic blood supply. They are further divided into intralobar sequestrations (ILS) and extralobar sequestrations (ELS). Intralobar sequestrations are three times more common than extralobar sequestrations [1]. They are located within normal lung and lack their own visceral pleura. Although 10-15% of patients may remain asymptomatic [2], most experts recommend resection to establish a diagnosis and prevent future complications.
Case Presentation
![]() |
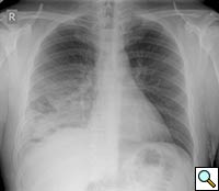
| Figure 1: Initial chest radiograph |
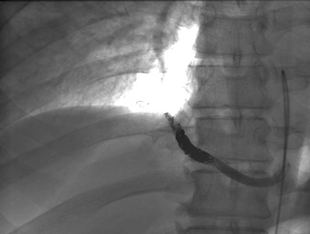
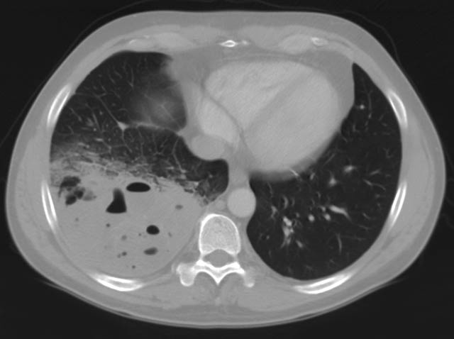
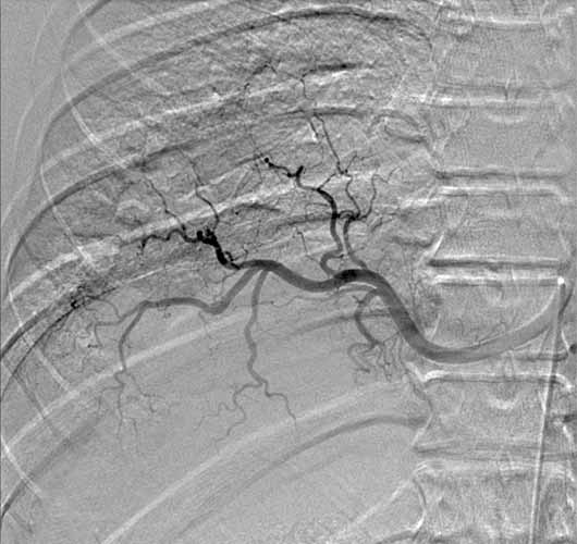
A previously healthy 43-year-old male presented with cough, fevers, and leukocytosis. A chest radiograph (Figure 1) revealed extensive consolidation in the right lower lung containing multiple cavities with air-fluid levels consistent with a necrotizing infection. A chest computed tomogram (Figure 2) showed an abscess cavity and consolidation in the right lower lobe with an aberrant blood supply from the descending aorta. This systemic blood supply was confirmed by subsequent 3D reconstruction (Figure 3). He was initially treated with IV antibiotics, resulting in normalization of his temperature and white blood cell count. He was then discharged home on a 3-week course of oral antibiotics. Three days prior to a planned surgical resection, he underwent angiographic localization of the feeding artery (Figure 4) and coil embolization (Figure 5).
Flexible bronchoscopy revealed normal bronchial anatomy (Video 1). There was no evidence of stricture. All segmental airways were present. A right thoracotomy was performed. The sequestration appeared as a bluish mass incorporated in the substance of the right lower lobe (Figure 6). The artery supplying the sequestration was visualized coursing through the inferior pulmonary ligament and divided (Figures 7, 8; Video 2). Alternating single and double lung ventilation, the sequestration was identified along the basolateral margin of the right lung (Video 3) with a clear line of demarcation. A combination of electrocautery and 4.8mm endoscopic staplers (Video 4) was used to separate normal lung from the sequestration (Video 5). Fibrin glue was applied to all staple lines. Normal bronchial airways were not divided and the remaining lower lobe inflated normally (Video 6). The post-surgical course was uncomplicated and the patient was discharged on post-operative day four. Pathology revealed parenchymal cyst formation with chronic inflammation and organizing pneumonia.
![]() |
![]() |
![]() |
| Figure 6: Intraoperative image of bluish-hued sequestration | Figure 7: Feeding artery ligated and partially divided | Figure 8: Cut end of feeder artery off aorta |
Video 1
Video 2
Video 3
Video 4
Video 5
Discussion
Pulmonary sequestrations are rare congenital malformations representing 0.15 to 6.4% of congenital pulmonary anomalies [3]. ILS usually present with recurrent infection later in life. ELS are found outside normal lung, contain their own visceral pleura, and are usually diagnosed early in life. Up to 15% percent of sequestrations remain asymptomatic [4].
The arterial blood supply to ILS originates from the lower thoracic or upper abdominal aorta, while venous drainage remains normal to the left atrium. Although sequestrations may be diagnosed as early as 18 weeks gestation by ultrasonography, chest radiography is often the first diagnostic step in ILS [5]. They may present as a dense pulmonary mass, sometimes with cystic changes or air-fluid levels from infection. Use of CT angiography has become more prevalent, allowing the characterization of aberrant blood supply, bronchial anatomy, and lung parenchyma [6].
To prevent complications from infection, hemorrhage, and possible malignancy, surgical resection of ILS is recommended [7]. Preoperative coil embolization of the arterial supply can decrease the risk of hemorrhagic complications and has been reported in the pediatric literature as an alternative to surgery [8]. However, intraoperative vascular control of this vessel may be more difficult if the coils are positioned in the artery outside of the sequestration rather than within the sequestration. Operative approaches involving thoracoscopy and thoracotomy have been reported, utilizing lobectomy, sequestrectomy, and wedge resection [9]. A recent review found pediatric and adult ILS anatomy, presentation, and treatment options to be similar [10].
In conclusion, we present a case of intralobar sequestration in an adult presenting with a pulmonary abscess. After a three-week course of antibiotics, preoperative coil embolization was performed to minimize the risk of intraoperative hemorrhage. An open parenchyma-sparing resection of the sequestration was performed and the patient was discharge home uneventfully after four days.
The authors thank Jill Rose for her assistance and editing in preparation of this document.
References
- Lagausie P, Bonnard A, Berrebi D, Petit P, Dorgeret S, Guys JM. Video-assisted thoracoscopic surgery for pulmonary sequestration in children. Ann Thorac Surg 2005;80:1266-69.
- Ryckman FC, Rosenkranz JG. Thoracic surgical problems in infancy and childhood. Surg Clin North Am 1985;65:1423-54.
- Halkie N, Cuenoud PF, Corthesy ME, Ksontini R, Boumghar M. Pulmonary sequestration: a review of 26 cases. Eur J Cardiothorac Surg 1998;14:127-33.
- Savic B, Birtel FJ, Tholen W, Funke HD, Knoche R. Lung sequestration: report of seven cases and review of 540 published cases. Thorax 1979;34:96-101.
- Gezer S, Tastepe I, Sirmali M, et al. Pulmonary sequestration: a single-institutional series composed of 27 cases. J Thorac Cardiovasc Surg 2007;133:955-59.
- Siegel MJ. Multiplanar and three-dimensional multi-detector row CT of thoracic vessels and airways in the pediatric population. Radiology 2003;229:641-50.
- Shanmugan G, MacArthur K, Pollack JC. Congenital lung malformations - antenatal and postnatal evaluation and management. Eur J Cardiothorac Surg 2005;27:45-52.
- Curros F, Chigot V, Emond S, et al. Role of embolisation in the treatment of bronchopulmonary sequestration. Pediatr Radiol 2000; 30:769-73.
- Morse CR, Ishitani MB, Cassivi SD. Video-assisted resection of bilateral intralobar pulmonary sequestrations. J Thorac Cardiovasc Surg 2006;131:917-18.
- Hirai S, Hamanaka Y, Mitsui N, Uegami S, Matsuura Y. Surgical treatment of infected intralobar sequestration: a collective review of patients older than 50 years reported in the literature. Ann Thorac Cardiovasc Surg 2007;13:331-34.












